
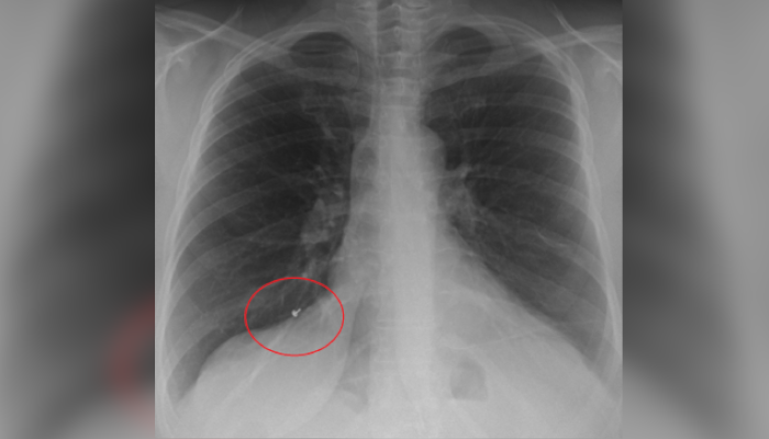
മൂന്ന് സ്ത്രീകളുടെ ശ്വാസകോശത്തില് നിന്നും മൂകുത്തി നിക്കം ചെയ്തു. കൊച്ചിയിൽ കഴിഞ്ഞ രണ്ടാഴ്ചക്കിടെ മൂന്ന് സ്ത്രീകളുടെ ശ്വാസകോശത്തിൽ നിന്നാണ് മൂക്കുത്തിയുടെ ഭാഗങ്ങൾ കണ്ടെടുത്തത്. അമൃത ആശുപത്രിയിലെ ഇന്റർവെൻഷണൽ പൾമനോളജി വിഭാഗത്തിലാണ് മൂന്ന് സ്ത്രീകളുടെ ശ്വാസകോശത്തിൽ നിന്ന് മൂക്കുത്തിയുടെ ആണി അടക്കമുള്ള ഭാഗങ്ങൾ നീക്കം ചെയ്തത്. ഇവരുടെ മറ്റ് ചില പരിശോധനകളുടെ ഭാഗമായി എടുത്ത എക്സ്റേയിൽ നിന്നാണ് ഇത് കണ്ടെത്തിയത്.
ചികിത്സയ്ക്കെത്തിയ ആദ്യ സ്ത്രീ 52 വയസുകാരിയാണ്. നാല് വർഷത്തിലേറെയായി വലത് ശ്വാസകോശത്തിൽ കുടുങ്ങിക്കിടന്നിരുന്ന സ്വർണം കൊണ്ടുള്ള മൂക്കൂത്തിയുടെ ഭാഗമാണ് ചികിത്സയ്ക്കിടെ നീക്കിയത്. രണ്ടാമത്തെ സ്ത്രീ 44 വയസുകാരികാരിയാണ്. വെള്ളി കൊണ്ടുള്ള മൂക്കുത്തിയുടെ ഭാഗമാണ് ഇവരുടെ വലത് ശ്വാസകോശത്തിൽ നിന്ന് നീക്കിയത്. ആറ് മാസമായി മൂക്കൂത്തിയുടെ ഭാഗം ശ്വാസകോശത്തിലുണ്ടെന്നാണ് പരിശോധനയിൽ വ്യക്തമായത്. മൂന്നാമത്തെ സംഭവത്തിൽ 31 വയസുകാരിയാണ് ചികിത്സ തേടിയത്. ഇവരുടെ ശ്വാസകോശത്തിൽ നിന്ന് നീക്കിയത് രണ്ട് വർഷത്തിലേറെയായി കുടുങ്ങിക്കിടക്കുന്ന സ്വർണ മൂക്കുത്തിയുടെ ഭാഗമാണ്.
എന്നാല് ഇവരില് മൂന്ന് പേര്ക്കും ചെറിയ ചുമ അല്ലാതെ മറ്റ് ശ്വാസകോശ തടസ്സങ്ങളൊന്നും നേരിട്ടിട്ടില്ലെന്ന് ആരോഗ്യ വിദഗ്ദര് പറഞ്ഞു. ത് ആദ്യമായല്ല ഇത്തരം വസ്തുക്കൾ ശ്വാസകോശത്തിൽ നീക്കുന്നതെന്നും എന്നാൽ ഇത്രയധികം കേസുകൾ അടുത്തടുത്ത് വരുന്നത് ആദ്യമായാണെന്നും അധികൃതര് വ്യക്തമാക്കി. ഉറക്കത്തിലോ മറ്റോ അബദ്ധവശാൽ മൂക്കുത്തിയുടെ ഭാഗങ്ങൾ ശ്വാസകോശത്തിൽ എത്തിയിരിക്കാനാണ് സാധ്യത. എന്നാൽ ഇത് പലരും ശ്രദ്ധിക്കാറില്ല. നഷ്ടപ്പെട്ടെന്നു കരുതി വിട്ടുകളയുകയാണ് പതിവ്. മറ്റ് തടസ്സങ്ങളില്ലാതെ ഇവ നീക്കം ചെയ്യാൻ സാധിച്ചെന്നും അല്ലാത്ത പക്ഷം ഇവ വലിയ രീതിയിലെ ശസ്ത്രക്രിയ മുഖേനയും ശ്വാസകോശത്തിന്റെ ഭാഗം മുറിച്ചുമാറ്റൽ പോലുള്ള നടപടികൾ വേണ്ടിവന്നേക്കാമെന്നും കൂട്ടിചേര്ത്തു.
ഇവിടെ പോസ്റ്റു ചെയ്യുന്ന അഭിപ്രായങ്ങള് ജനയുഗം പബ്ലിക്കേഷന്റേതല്ല. അഭിപ്രായങ്ങളുടെ പൂര്ണ ഉത്തരവാദിത്തം പോസ്റ്റ് ചെയ്ത വ്യക്തിക്കായിരിക്കും. കേന്ദ്ര സര്ക്കാരിന്റെ ഐടി നയപ്രകാരം വ്യക്തി, സമുദായം, മതം, രാജ്യം എന്നിവയ്ക്കെതിരായി അധിക്ഷേപങ്ങളും അശ്ലീല പദപ്രയോഗങ്ങളും നടത്തുന്നത് ശിക്ഷാര്ഹമായ കുറ്റമാണ്. ഇത്തരം അഭിപ്രായ പ്രകടനത്തിന് ഐടി നയപ്രകാരം നിയമനടപടി കൈക്കൊള്ളുന്നതാണ്.